Informasi Kesehatan Gigi dan Gusi

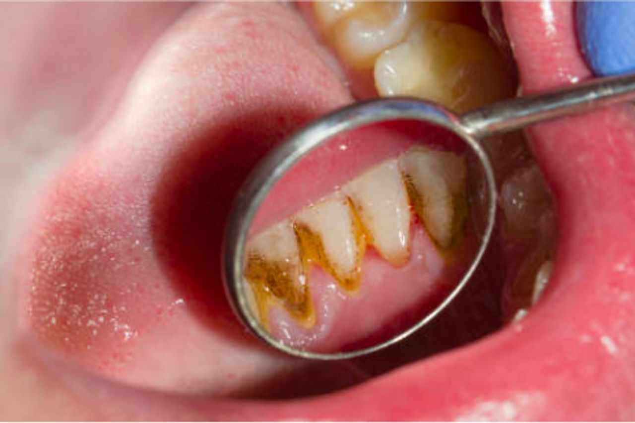
Karang Gigi Lepas Sendiri, Amankah?
Apa Itu Karang Gigi? Karang gigi adalah endapan keras yang terbentuk di permukaan gigi akibat penumpukan plak yang tidak dibersihkan. Plak adalah lapisan lengket dan

6 Manfaat Sikat Gigi Sebelum Tidur
Setiap malam sebelum tidur, kebiasaan sederhana seperti menyikat gigi bisa memiliki dampak besar bagi kesehatan mulut dan tubuh kamu secara keseluruhan. Tidak hanya memberikan kesegaran,

6 Cara Menghilangkan Bau Pete di Mulut dengan Cepat dan Mudah
Pete adalah makanan favorit bagi banyak orang. Terkadang, tidak lengkap menikmati suatu hidangan tanpa tambahan pete sebagai pelengkap. Apakah Anda salah satu penikmat pete? Biasanya

8 Obat Bau Mulut Alami dan Ampuh Atasi Bau Mulut
Bau mulut, atau halitosis, adalah masalah umum yang dapat disebabkan oleh berbagai faktor, seperti kebersihan mulut yang buruk, konsumsi makanan tertentu, dan kondisi medis tertentu.

8 Penyebab Bau Mulut dan Cara Mencegahnya
Bau mulut atau halitosis adalah masalah umum yang dapat mempengaruhi siapa saja, terlepas dari usia atau jenis kelamin. Bau mulut dapat menjadi sumber ketidaknyamanan dan

4 Cara Mengatasi Gigi Ngilu saat Buka Puasa
Salah satu ibadah paling penting yang dilakukan oleh umat Muslim di seluruh dunia adalah puasa. Umat Muslim berpuasa secara terus menerus dari matahari terbit hingga

7 Cara Menghilangkan Bau Mulut saat Puasa dengan Efektif
Bau mulut sering kali menjadi hal yang mengganggu, terlebih saat berpuasa. Bau mulut atau yang disebut juga halitosis sejatinya merupakan masalah yang umum dan dapat

11 Penyebab Mulut Terasa Asam dan Cara Mengatasinya dengan Cepat
Pernahkah Anda mengalami sensasi asam yang tidak nyaman di mulut? Kondisi ini, yang sering disebut mulut terasa asam, bisa mengganggu aktivitas sehari-hari dan membuat Anda